Перейти к:
Преждевременная отслойка нормально расположенной плаценты: морфологическая архитектура плаценты
https://doi.org/10.69964/BMCC-2025-2-4-61-69
Аннотация
Введение. Преждевременная отслойка нормально расположенной плаценты (ПОНРП) занимает лидирующую позицию в структуре акушерских кровотечений с патологической и массивной кровопотерей, критических акушерских состояний женщины, антенатальной гибели плода, инвалидизации новорожденного.
Цель исследования. Изучить особенности морфологии плаценты от пациенток с осложненным течением доношенной беременности преждевременной отслойкой нормально расположенной плаценты.
Материал и методы исследования. Проспективное исследование выполнено в период 2021-2024 г. Проведен анализ результатов клинического, лабораторного обследования 84 беременных женщин, особенности течения родов, морфологического исследования их плацент. Основную группу составили пациентки, у которых роды протекали с осложнением ПОНРП, n=42; группу сравнения составили женщины без осложненного течения родов ПОНРП, n=42. Для оценки качественных признаков плацент применяли описательный метод. Морфологическое исследование плацент проводилась методом электронной микроскопии.
Результаты. В статье проведен сравнительный анализ макроскопической и ультраморфологической структуры плаценты при ПОНРП и без нее. Характерным в структуре плаценты при ПОНРМ явилось наличие деструкции архитектуры клеток синцитиотрофобласта, формирующее острую плацентарную недостаточность, что наряду с кровотечением явилось показанием к экстренному абдоминальному родоразрешению в интересах матери и плода.
Для цитирования:
Миляева Н.М., Багиянц В.А., Куликов А.В. Преждевременная отслойка нормально расположенной плаценты: морфологическая архитектура плаценты. Вестник охраны материнства и младенчества. 2025;2(4):61-69. https://doi.org/10.69964/BMCC-2025-2-4-61-69
For citation:
Milyaeva N.M., Bagayants V.A., Kulikov A.V. Premature placental abruption of a normally located placenta: morphological architecture of the placenta. Bulletin of maternal and child care. 2025;2(4):61-69. (In Russ.) https://doi.org/10.69964/BMCC-2025-2-4-61-69
Введение
Несмотря на глобальные достижения акушерской науки и практики, массивные кровотечения при преждевременной отслойке нормально расположенной плаценты (ППОНРП), как и при предлежании и врастании плаценты, гипотонических кровотечениях, занимают одну из лидирующих позиций в структуре акушерских кровотечений. Они ассоциированы с высоким уровнем доли едва не погибших женщин (near miss), материнской и перинатальной заболеваемости и смертности. По данным ряда авторов, частота ПОНРП составляет 14-30% в структуре акушерских кровотечений [1][2].
Результаты фундаментальных научных исследований развития ПОНРП всецело подтверждают многофакторную структуру этиологии и патогенеза ПОНРП при беременности и родах, однако, данная проблема далека от решения [1][2][3][4][5]. Полная ПОНРП и связанная с ней массивная кровопотеря может способствовать формированию анемии тяжелой степени, синдрому диссеминированного внутрисосудистого свертывания, полиорганной недостаточности. Она может также влиять на изменение репродуктивного потенциала семьи, что, как правило, обусловлено как высокой частотой инвалидизации молодых женщин в результате расширения объема хирурургического вмешательства вплоть до гистерэктомии, так и наличием нередко антенатальной гибели плода, либо/и рождением ребенка с тяжелыми гипоксически-ишемическими нарушениями головного мозга. В связи с этим чрезвычайно актуальным является изучение этиологии и механизмов формирования ПОНРП. Особое значение в понимании этих разделов вносит морфологическое изучение плацентарной ткани [1][2][5].
Цель исследования — изучить особенности морфологии плаценты от пациенток с осложненным течением беременности и родов преждевременной отслойкой нормально расположенной плаценты.
Материал и методы исследования
Данное проспективное исследование выполнено в период 2021-2024 г. в Государственном образовательном учреждении высшего образования Уральский государственный медицинский университет на клинической базе кафедры акушерства и гинекологии с курсом медицинской генетики, родильном доме ГАУЗ СО «ГКБ№14» г. Екатеринбурга. Проведен анализ результатов клинического, лабораторного обследования 84 беременных женщин, особенности течения их родов, а также морфологическое исследование их плацент. Основную группу составили пациентки, у которых роды протекали с осложнением ПОНРП, n=42; группу сравнения составили женщины без осложненного течения родов ПОНРП, n=42.
Критерии включения: основная группа — пациентки с осложненным течением беременности ПОНРП, одноплодная беременность; группа сравнения — отсутствие ПОНРП, одноплодная беременность. Критерии исключения: переношенная беременность, соматическая патология в стадии декомпенсации, эндокринные и аутоиммунные заболевания, предлежание плаценты, острая хирургическая патология, наличие подтвержденной генетической патологии гемостаза, онкологические заболевания, многоплодная беременность.
Для оценки качественных признаков плацент применяли описательный метод. Проводилась органометрическая макроскопическая оценка и описание плацент с определением ее массы, площади, подсчета плодово- плацентарного коэффициента, количества сосудов пуповины, плодных оболочек, материнской поверхности плаценты и гистологическое исследование срезов ткани. Морфология биоптатов плацент методом электронной микроскопии проводилась в лаборатории электронной микроскопии ГАУЗ СО «Клинико-диагностический центр город Екатеринбург». Ультратонкие срезы плаценты были получены на ультратоме «Leica EM UC6» (Германия), контрастировали их цитратом свинца и исследовали в электронном микроскопе «Morgagni 268-D» (Чехия, Голландия) при рабочем увеличении от 2200 до 7000. Оценка синцитиотрофобласта проводилась на обзорных снимках 3-х перинуклеарных зон приблизительно одинаковых размеров и структуры синцитиотрофобласта при увеличении 3500, с детализацией структур органелл при увеличениях 7100 — 22000.
Статистическую обработку результатов исследований проводили с помощью стандартных статистических методов с использованием «Microsoft Excel» (2013). Для описания количественных массивов с нормальным распределением показатели представляли в виде М(SD), где М–среднее значение, а SD–стандартное отклонение. По методике Боровикова В.М. (2001) качественные признаки представляли в виде абсолютного числа (n) и доли в процентах (%). Сравнительный анализ параметрических данных проводили по критерию Стьюдента; критический уровень значимости различий (p) устанавливали равным p<0,05.
Результаты исследования
Статистически значимых различий по возрасту, социальному положению, антропометрическим показателям и данным наружного осмотра, характеристикам менструальной функции, наличию соматической и гинекологической патологии, сроку родоразрешения в основной и группе сравнения выявлено не было, p>0,05. Средний возраст пациенток основной группы составил 30,6 (7,3), в группе сравнения — 29,3 (8,1) лет. В основной группе значимо чаще встречались пациентки с наличием 3 и более родов в анамнезе (13; 31%) против 4 (9,5%) пациенток группы сравнения, p<0,05. Следует отметить, что тяжелая преэклампсия осложнила течение беременности у 13 (30,9%), задержка роста плода (ЗРП) диагностирована у 12 (28,6%), маловодие — у 11 (26,2%) пациенток основной группы, в группе сравнения частота осложнений распределилась следующим образом — ЗРП — у 4 (9,5%), тяжелой преэклампсии и маловодия выявлено не было; p<0,05. Все пациентки были родоразрешены путем операции кесарево сечения в сроке доношенной беременности. Показанием к абдоминальному родоразрешению в основной группе послужила прогрессирующая отслойка нормально расположенной плаценты, в группе сравнения — тазовое предлежание плода (9; 21,4%), преждевременное излитие околоплодных вод при незрелой шейке матки (12; 28,6%), крупный плод (10; 23,8%), поперечное положение плода (6;14,3%), узкий таз (5; 11,9%).
Макроскопические характеристики не выявили тяжелых дегенеративно-дистрофических изменений плацентарной ткани от родов пациенток основной и группы сравнения. В подавляющем большинстве от пациенток основной группы на разрезе плацент визуализировалось умеренное полнокровие, однородность структур, в ряде случаев присутствовали патологические очаги в виде крупных кальцинатов, жировых перерождений, мелких инфарктов, достоверных межгрупповых различий выявлено не было (таблица 1), что не противоречит результатам исследований других авторов [1][2][3][4][5].
Таблица 1. Макроскопические органометрические показатели последов в зависимости от исхода родов
Table 1. Macroscopic organometric parameters of placentas depending on the outcome of labor
Характеристика | Основная группа; n=42 | Группа сравнения; n=42 | p |
Масса последа, г; M(SD) | 592,62(7,65) | 572,26(6,23) | P1-2 =0,484 |
Плацентарно-плодовый коэффициент, у.е.; M(SD) | 0,160(0,004) | 0,171(0,002) | P1-2 =0,747 |
Длина пуповины, см; M(SD) | 53,65(0,44) | 54,78(0,38) | P1-2 =0,042 |
Макроскопические изменения последа абс. (%) | 35 (100) | 30 (85,71) | P1-2 =0,086 |
Примечание: n — число беременных; p1-2 — уровень значимости различий между основной и группой сравнения; достоверные различия при p<0,05
В процессе проведения электронно-микроскопического исследования образцов плаценты мы постарались выявить критерии наличия плацентарной недостаточности, которые дают основание говорить об их значимости при ПОНРП.
Электронно-микроскопическое исследование плаценты при ПОНРП выявило следующие морфофункциональные особенности: цитоплазма синцитиотрофобласта визуализировалась ячеистого вида из-за резкого расширения просветов канальцев эндоплазматической сети; в местах разрушения канальцев были видны очаги локальной деструкции; митохондрии — набухшие, отмечалась деструкция крист, просветление, а порой опустошение митохондриального матрикса; ядра визуализировались неправильной формы, деформированые; хроматин гомогенного вида; микроворсинки распределялись равномерно, но строма ворсин была разрыхлена, отечная, в строме просматривалось обилие мононуклеаров. Присутствовало нарушение межклеточных контактов между децидуальными клетками. Большинство просмотренных сосудов резко полнокровны, в просветах видны сладжированные эритроциты. В просвете некоторых сосудов наряду с эритроцитами выявляются скопления тромбоцитов, нити фибрина, адгезия тромбоцитов к эндотелию; также визуализировалась межклеточная локализация фибрина. В некоторых ворсинах определяются массивные кровоизлияния с пропитыванием стромы (Рисунки 1, 2, 3, 4). Таким образом, при изучении морфологической архитектуры ткани плацент при ПОНРП четко прослеживается морфофункциональная характеристика плацентарной недостаточности и наличие ультраструктурных характеристик ее декомпенсации.

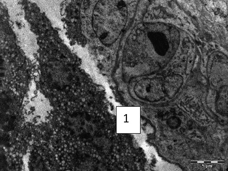
Рисунок 1. Фрагмент синцитиотрофобласта при ПОНРП. Выраженная вакуолизация цитоплазмы синцитиртрофобласта (1) с формированием очагов деструкции. (Роженица К., 29 л.). Ув. х3500
Figure 1. Fragment of syncytiotrophoblast in PONRP. Pronounced vacuolization of syncytiotrophoblast cytoplasm (1) with formation of foci of destruction. (Mother K., 29 years old). Magnification x3500

Рисунок 2. Участок отслойки синцитиотрофобласта при ПОНРП (1). (Родильница К., 30 л.). Ув. х2200
Figure 2. Area of syncytiotrophoblast detachment in PONRP (1). (Mother K., 30 years old). Magnification x2200

Рисунок 3. Частичная деструкция (1) и деструкция митохондрий (2) с просветлением митохондриального матрикса при ПОНРП. (Родильница А., 30 л.). Ув. х22000
Figure 3. Partial destruction (1) and destruction of mitochondria (2) with enlightenment of the mitochondrial matrix in PONRP. (Mother A., 30 years old). Magnification x22000

Рисунок 4. Срез плацентарного сосуда при ПОНРП — набухание эндотелия (1), тромбоциты (2), нити фибрина (3), агрегация тромбоцитов к эндотелию (4). (Родильница С., 27 г.). Ув. х2800
Figure 4. Section of placental vessel in PONRP — swelling of the endothelium (1), platelets (2), fibrin threads (3), platelet aggregation to the endothelium (4). (Mother S., 27 years old). Magnification x2800
В плаценте у пациенток группы сравнения по результатам ультраморфологического исследования визуализировалась наиболее сохранная клеточная ультраструктура, признаков воспаления плаценты выявлено не было. Несмотря на то, что в ряде случаев выявлялся характерный для гипоксии отек волокнистой сети хорио-децидуального слоя в плаценте, отсутствовали такие необратимые изменения синцитиотрофобласта, как отслойка, деструкция и некроз ткани, патология эндотелия сосудов, их тромбоз (Рисунки 5, 6, 7, 8).

Рисунок 5. Фрагмент синцитиотрофобласта без ПОНРП (строма ворсин — 1, вакуолизация цитоплазмы — 2, ядра — 3, ворсинки щеточной каймы). (Родильница З., 28 л.). Ув. х3500
Figure 5. Fragment of syncytiotrophoblast without PONRP (villous stroma — 1, cytoplasm vacuolization — 2, nuclei — 3, brush border villi). (Parturient woman Z., 28 years old). Magnification x3500

Рисунок 6. Фрагмент синцитиотрофобласта без ПОНРП Митохондрии типичные и в стадии частичной деструкции (типичные митохондрии — 1, митохондрии в стадии частичной деструкции — 2). (Родильница С., 31 г.). Ув. х7100
Figure 6. Fragment of syncytiotrophoblast without PONRP. Mitochondria are typical and in the stage of partial destruction (typical mitochondria — 1, mitochondria in the stage of partial destruction — 2). (Mother S., 31 years old). Magnification x7100

Рисунок 7. Фрагмент синцитиотрофобласта без ПОНРП. Поперечный срез через сосуд плаценты (плацентарные сосуды — 1, локальные отеки — 2). (Родильница З., 28 л.). УВ. х3500
Figure 7. Fragment of syncytiotrophoblast without PONRP. Cross-section through a placental vessel (placental vessels — 1, local edema — 2). (Mother Z., 28 years old). UV x3500

Рисунок 8. Фрагмент синцитиотрофобласта без ПОНРП. Полнокровные сосуды плаценты (1), локальный отек в периваскулярной зоне (2), ровный эндотелий сосудов (3), структурная соединительная ткань (4). (Родильница Б., 26 л.). Ув.х2800
Figure 8. Fragment of syncytiotrophoblast without PONRP. Full-blooded placental vessels (1), local edema in the perivascular zone (2), smooth vascular endothelium (3), structural connective tissue (4). (Mother B., 26 years old). Magnification x2800
Обсуждение результатов
Медицинское сообщество, следуя мировой тенденции развития здравоохранения в части предикции и профилактики, осуществляет попытки предсказать возможность развития тех или иных осложнений, их тяжесть, в том числе и преждевременную отслойку плаценты [6][7,8][9][10]. При анализе полученных данных исследований обращает на себя внимание превалирование немодифицируемых факторов риска развития ПОНРП (возраст пациентки, паритет родов, ПОНРП в анамнезе, наличие рубца на матке, известные тромбофилии и пр.) над модифицируемыми (курение, уровень артериального давления при гипертензивных расстройствах, как существовавших до беременности, так и ассоциированных с настоящей беременностью). Очевидно, что материнская заболеваемость и смертность связана прежде всего с патологической и массивной кровопотерей и потребностью в гемотрансфузии [2][9][10]. Также появляются сообщения об отдаленных последствиях перенесенного кровотечения в результате ПОНРП в виде увеличения числа сердечно-сосудистых и онкологических заболеваний, уменьшения общей продолжительности жизни [5][6][9][10]. В эпоху современности сформулирована ни одна гипотеза, касающаяся механизмов развития преждевременной отслойки плаценты. Согласно гемореологической теории наряду с изменениями в системе гемостаза крови матери на первый значимый уровень в генезе ПОНРП выступают гемореологические изменения в межворсинчатом пространстве плаценты, с наибольшей долей вероятности связанной со структурными изменениями щеточной каемки синцитиотрофобласта — нарушение целостности, высоты, порядка распределения микроворсинок на поверхности синцитиотрофобласта в условиях нарушенного трофобласта [4]. В условиях нарушения гиперкоагуляционными возможностями материнской крови и противосвертывающей системой микроворсинок развивается тромбоз межворсинчатого пространства. Как результат проведенных нами исследований, во-первых, были выявлены клинические особенности течения беременности с формированием ее осложнений вынашивания и в последующем развития ПОНРП, что не противоречит результатам проведенных ранее исследований [6][8][9][10][11]. Статистически значимыми результатами для реализации ПОНРП явились — тяжелая преэклампсия с протеинурией и артериальной гипертензией, задержка роста плода, маловодие, паритет родов 3 и более. Следовательно, клинико-анамнестические данные могут выступать предикторами ПОНРП. Во-вторых, несмотря на то, что при исследовании плацент группы сравнения без ПОНРП были выявлены характерные для срока гестации морфологические изменения (например, частичная деструкция митохондрий, отек стромы, полнокровие сосудов), тем не менее ни в одном случае в отличии от плацент пациенток основной группы не визуализировались некроз ворсинок, деструкция архитектуры клеток, деструкция и некроз ткани синтициотрофобласта, патология эндотелия сосудов, тромбоз сосудов. Выявленные изменения в ткани плаценты при проведении электронной микроскопии подчеркивает синергизм происходящих событий при осложненном течении беременности преждевременной отслойкой плаценты — с одной стороны имеются особенности анамнеза (высокий паритет) и осложненное течение беременности (тяжелая преэклампсия, задержка роста плода, маловодие), с другой стороны — наличие патологии морфологии плаценты на клеточном уровне.
Заключение
Отличными элементами морфологической структуры при ПОНРП являются наличие микроскопически визуализированных деструкции, некроза, отслойки синцитиотрофобласта, сопровождающиеся деструкцией межклеточных контактов, с последующим замещением коллагеновыми волокнами, фибрином. Глубокие изменениями микроциркуляторного русла с явлениями тромбоза, сладжирования форменных элементов крови к патологически измененному эндотелию сосудов синцитиотрофобласта, характерные для ПОНРП, отсутствуют в ткани плаценты при неосложненном течении ПОНРП беременности и родов. При ПОНРП формируется деструкция архитектуры клетки, выраженные изменения ядра клетки, что провоцирует формирование острой плацентарной недостаточности, требующее экстренного абдоминального родоразрешения.
Уточнение триггерной роли инициатора развития ПОНРП является ключевым направлением дальнейших научных исследований.
ДЕКЛАРАЦИЯ О НАЛИЧИИ ДАННЫХ: данные, подтверждающие выводы настоящего исследования, можно получить у контактного автора по обоснованному запросу.
СООТВЕТСТВИЕ ПРИНЦИПАМ ЭТИКИ: проведенное исследование соответствует стандартам Хельсинкской декларации (Declaration Helsinki), одобрено Комитетом по этике ФГБОУ ВО «Уральский государственный медицинский университет» Минздрава России, Екатеринбург, 620028, ул. Репина, д. 3, Россия (протокол от 07.04.2025 г.)
DATA AVAILABILITY STATEMENT: Data supporting the findings of this study are available from the corresponding author upon reasonable request.
COMPLIANCE WITH ETHICAL STANDARDS: The conducted research complies with the standards of the Helsinki Declaration, approved by the Ethics Committee of the Ural State Medical University of the Ministry of Health of the Russian Federation (Repin Str., 3, Ekaterinburg, 620028, Russia), Protocol dated 07/04/2025.
ВКЛАД АВТОРОВ:
Н.М. Миляева, В.А. Багиянц, А.В. Куликов — разработка концепции и дизайна исследования; сбор данных, анализ и интерпретация результатов, обзор литературы, составление черновика рукописи; критический пересмотр черновика рукописи и формирование его окончательного варианта.
Все авторы одобрили финальную версию статьи перед публикацией, выразили согласие нести ответственность за все аспекты работы, подразумевающее надлежащее изучение и решение вопросов, связанных с точностью и добросовестностью любой части работы.
AUTHOR CONTRIBUTIONS:
Natalya M. Milyaeva, Vladimir A. Bagayants, Alexander V. Kulikov — development of the concept and design of the study; data collection, analysis and interpretation of the results, literature review, drafting of the manuscript; critical revision of the draft manuscript and the formation of its final version.
All authors approved the final version of the article before publication, and agreed to be responsible for all aspects of the work, implying proper study and resolution of issues related to the accuracy and integrity of any part of the work.
Список литературы
1. Воронцова З.А., Жиляева О.Д., Гуреев А.С. Морфофункциональные особенности плаценты при акушерской и соматической патологии (обзор литературы). Вестник новых медицинских технологий. 2018; 25(3): 34–43. https://doi.org/10.24411/1609-2163-2018-16147
2. Miller C., Grinspan D., Gaudet L. et al. Maternal and neonatal cyaracteristics of a Canadian urban disorder during pregnancy. J Dev Orig Health Dis 2019;10(1):132–137. https://doi.org/10.1017/S2040174418000478
3. Гребнева О.С. Морфологическая характеристика плацент после преждевременной отслойки. Фундаментальные исследования. 2014;10(10): 1918-23. URL: http://fundamental-research.ru/ru/article/view.id=36671 (дата обращения: 13.03.2021).
4. Перетятко Л.П., Стороженко Т. В., Курганова Е.А., Назаров С.Б. Преждевременная отслойка нормально расположенной плаценты: морфология и морфометрические параметры структурных компонентов базальной децидуальной оболочки. Морфологические ведомости. 2014;2: 55-63.
5. Стороженко Т.В. Морфология плацент с преждевременной отслойкой у женщин с артериальной гипертензией. Вестник Российского государственного медицинского университета. 2013; спец. выпуск (2):187-8.
6. Медведева И.Н., Святченко К.С. Преждевременная отслойка нормально расположенной плаценты: свести риск к минимуму. Акушерство, гинекология и репродукция 2016;10(3):29–34.
7. Ohgiya Y, Nobusawa H, Seino N, Miyagami O, Yagi N, Hiroto S, Munechika J, Hirose M, Takeyama N, Ohike N, Matsuoka R, Sekizawa A, Gokan T. MR Imaging of Fetuses to Evaluate Placental Insufficiency. Magnetic Resonance in Medical Sciences. 2016;15(2):212-219. https://doi.org/10.2463/mrms.mp.2015-0051
8. Schmidt P., Skelly C.L., Raines D.A. Placental Abruption. In: StatPearls [Internet]. Treasure Island (FL): StatPearls Publishing; 2022. Bookshelf ID: NBK482335.
9. Пасман Н.М., Чуманова О.В. Значение тромбофилии в развитии преждевременной отслойки нормально расположенной плаценты. Акушерство, гинекология и репродукция. 2019;13(1):29–34. https://doi.org/10.17749/23137347.2019.13.1.029-034
10. Фролова Н.И., Белокриницкая Т.Е. Модель прогнозирования преждевременной отслойки нормально расположенной плаценты пациенток с исходно низкой степенью акушерского риска. Гинекология. 2020;22(4):6–10. https://doi.org/10.26442/20795696.2020.4.200150
11. Милованов А.П., Корнилова Н.К., Фадеев А.С., Федорова М.В. Патоморфология матки при преждевременной отслойке нормально расположенной плаценты. Архив патологии 2006;68(1):25–27.
Об авторах
Н. М. МиляеваРоссия
Миляева Наталья Маратовна — доктор медицинских наук, доцент, доцент кафедры
акушерства и гинекологии с курсом медицинской генетики
ул. Репина, д. 3, г. Екатеринбург, 620028
В. А. Багиянц
Россия
Багиянц Владимир Артурович - ассистент кафедры акушерства и гинекологии с курсом
медицинской генетики
ул. Репина, д. 3, г. Екатеринбург, 620028
А. В. Куликов
Россия
Куликов Александр Вениаминович - доктор медицинских наук, профессор, заведующий кафедрой анестезиологии и реанимации, токсикологии
ул. Репина, д. 3, г. Екатеринбург, 620028
Рецензия
Для цитирования:
Миляева Н.М., Багиянц В.А., Куликов А.В. Преждевременная отслойка нормально расположенной плаценты: морфологическая архитектура плаценты. Вестник охраны материнства и младенчества. 2025;2(4):61-69. https://doi.org/10.69964/BMCC-2025-2-4-61-69
For citation:
Milyaeva N.M., Bagayants V.A., Kulikov A.V. Premature placental abruption of a normally located placenta: morphological architecture of the placenta. Bulletin of maternal and child care. 2025;2(4):61-69. (In Russ.) https://doi.org/10.69964/BMCC-2025-2-4-61-69

